أخبار عاجلة

كيف يؤثر التدخين السلبي على صحة الفم لدى الأطفال؟

كيف يؤثر التدخين السلبي على صحة الفم لدى الأطفال؟
كيف يؤثر التدخين السلبي على صحة الفم لدى الأطفال؟

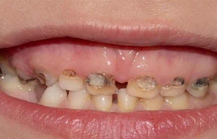
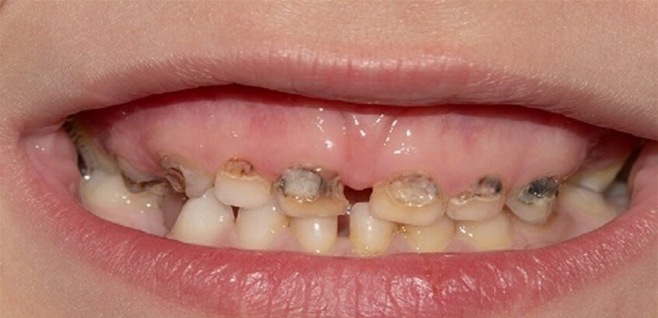
يزيد التعرض للتدخين السلبي من خطر تسوس الأسنان لدى الأطفال، إذ يضعف خصائص اللعاب الوقائية ويعزز الالتهابات في الجسم.

توصل باحثون من كلية طب الأسنان بجامعة الملك عبد العزيز إلى أن التعرض للتدخين السلبي يزيد من خطر تسوس الأسنان لدى الأطفال، بحسب دراسة نشرتها مجلة Frontiers in Oral Health."

وتمت دراسة 427 طفلا، حيث قيّم الباحثون عدد مرات استنشاقهم لدخان التبغ في المنزل أو السيارة أو أثناء التجمعات العائلية. وأظهرت النتائج أن أكثر من نصف الأطفال يعيشون في منازل مع بالغين مدخنين، وكان الأطفال المعرضون للدخان أكثر عرضة لتسوس الأسنان.

وكشفت التحليلات عن علاقة واضحة بين شدة التعرض للتدخين السلبي وحدّة تسوس الأسنان؛ فالأطفال غير المعرضين للدخان سجلوا أدنى معدلات التسوس، بينما كان أعلى المعدلات لدى من تعرضوا للدخان في المنزل والسيارة والتجمعات العائلية.

وأوضح الباحثون أن دخان التبغ يمكن أن يغير تركيبة وخصائص اللعاب، ويضعف تدفقه وقدرته على معادلة الأحماض، ما يسهل إزالة المعادن من مينا الأسنان وتطور التسوس. كما يعاني الأطفال المعرضون للتدخين السلبي من تراكم أكبر للجير والتهاب اللثة نتيجة تكوّن طبقة بكتيرية متغيرة وضعف المناعة الموضعية في الفم، بما في ذلك انخفاض نشاط الغلوبولين المناعي الإفرازي A.

وأشار الباحثون أيضا إلى أن العوامل السلوكية قد تزيد خطر التسوس، حيث ترتبط الأسر التي يدخن فيها البالغون بعادات غذائية غير صحية وارتفاع مؤشر كتلة الجسم لدى الأطفال، ما يسهم في تفاقم مشكلات الأسنان. (روسيا اليوم) 

اشترك فى النشرة البريدية لتحصل على اهم الاخبار بمجرد نشرها

تابعنا على مواقع التواصل الاجتماعى

السابق لاستقرار الغلوكوز.. اليكم هذه الخيارات الذكية للإفطار
التالى 5 روائح بسيطة توقظ الحواس والدماغ